Стоматологическое протезирование (протезирование зубов) – это раздел стоматологии, который занимается вопросами реставрации повреждённых или утраченных зубов, а также реализацией методик реставрации. Протезирование зубов относится к ортопедической стоматологии. Составляет и осуществляет план лечения в этом случае стоматолог-ортопед. То есть протез в стоматологии – это выполненная из искусственных материалов «недостающая» часть зуба. Одним из классических примеров дентальных конструкций такого рода является искусственная зубная коронка.

Основные задачи ортопедической стоматологии:
- Восстановление целостности зубного ряда;
- Восстановление эстетики зубного ряда;
- Функциональное восстановление зубочелюстной системи жевательного аппарата (в том числе височно-нижнечелюстного сустава);
- Устранение травматических повреждений;
- Коррекция нарушений речеобразования;
- Устранение проблем с глотательной функцией, лечебные меры, направленные на решение проблем челюстно-лицевой области; а также решение иных лечебных задач;
- Предупреждение развития патологий.
Современные зубные протезы – это высокотехнологические конструкции, выполненные в строгом соответствии с индивидуальными параметрами и конкретными задачами. Соответственно, ортопедическая стоматология не может обойтись без зуботехнической лаборатории и работы зубных техников.
Часто ортопедическому лечению предшествует терапевтическое лечение. Ортопедическое лечение также может быть частью общего лечебного плана, включающего действия, связанные с другими разделами стоматологии. Наиболее частый пример: протезирование на имплантатах.
Отдельно следует отметить, что очень частой причиной обращения к стоматологу становится острая зубная боль. Однако зуб может разрушаться постепенно, без выраженных симптомов и не создавая сильного дискомфорта через болезненность. Каковы могут быть последствия отсутствия своевременного ортопедического лечения? Возможные последствия таковы:
- Неисправленные повреждения зуба ведут к усугублению патологического процесса: разрушительный процесс продолжится, затрагивая всё большее количество тканей.В дальнейшем это может привести к потере зуба.Утрата зуба имеет множество последствий, одно из которых – начало атрофии костной ткани, удерживавшей корень.
- Повреждённые ткани зуба не получают нормальную гигиену и становятся своеобразным «хранилищем» инфекций.Повреждённый зуб в любой момент может начать испытывать острые боли.
- Правильная «работа» зубочелюстной системы зависит от целостности самой системы.Таким образом, разрушение коронки зуба приводит к образованию «пробела», пустоты в зубном ряду. Соседствующие с этим «пробелом» зубы постепенно начинают смещаться в сторону образовавшейся пустоты.
- Прогрессия патологического процесса может привести к ослаблению и утрате оставшихся зубов (соседствующих с местом повреждённого зуба).
- Длительное смещение зубов в сторону образовавшегося «пробела» может привести к затруднениям в дальнейшем протезировании.
- Возникают нарушения речевой функции.
- Искажается смыкание челюстей; что в дальнейшем может привести к появлению нарушений в работе височно-нижнечелюстного сустава; что, в свою очередь, также имеет ряд негативных последствий (например, появление мигреней).
- Нормальный процесс пережёвывания пищи становится затруднён или невозможен (в зависимости от уровня дефектов зубных рядов).Это может повлечь развитие нарушений в работе желудочно-кишечного тракта.
- Нарушается эстетика зубного ряда с риском появления психологических проблем на этой почве.
Возможные причины потери зуба:
- Главный враг зубов – кариес.
- Воспалительные процессы в дёснах, околозубных тканях (например, пародонтит, периодонтит).
- Патологические процессы, затрагивающие корень зуба (например, кисты).
- Травмы.
- Патологии, спровоцированные неправильными гигиеническими навыками (некорректно осуществляемыми гигиеническими процедурами).
- Заболевания других органов и систем.
- Нарушения питания, неверный рацион.
- Вредные привычки, оказывающие губительное воздействие на зубы, на мягкие ткани ротовой полости и на организм в целом.
- Факторов, способных создать риск для сохранности зубов, немало. Лишний раз повод напомнить: привычка регулярно (каждые полгода) посещать стоматолога очень важна. Именно так можно своевременно предотвратить появление серьёзных проблем с зубами.
Виды протезирования зубов в современной стоматологии.
Стоматология – стремительно развивающаяся область медицины. Важно и то, что стоматология развивается постоянно: появляются новые и совершенствуются существующие материалы, приспособления, инструменты, конструкции, препараты, методы работы. Какие же сегодня есть виды зубного протезирования и можно ли определить, какой вид протезирования зубов лучше?
Классификация по способу фиксации конструкции во рту включает две больших категории:
- Съёмные протезы;
- Несъёмные протезы.
К съёмному протезированию, соответственно, относят такой тип конструкций, которые, во-первых, могут быть изъяты изо рта самим пациентом, а во-вторых – эксплуатация таких конструкций предусматривает необходимость в таком изъятии – для проведения гигиенических процедур. Некоторым исключением можно считать условно-съёмные протезы (которые также относятся к категории съёмных протезов), специфика которых заключается в том, что такие протезы при необходимости могут быть сняты врачом, самостоятельное извлечение из ротовой полости пациентом не подразумевается.Дентальная имплантация – одно из наиболее перспективных направлений стоматологии, и условно-съёмное протезирование сейчас связано с этим направлением. Крепёжные элементы таких протезов могут варьироваться: с помощью элементов балочного типа или иных фиксаторов; но общий принцип таков: фиксирующее устройство состоит из двух частей, где одна часть закреплена на имплантатах, а другая вмонтирована в протез. Фиксация протеза, соответственно, происходит через соединение этих элементов.

Решение о целесообразности такого способа протезирования принимается врачом в каждом конкретном случае, основываясь на данных о клинической ситуации и диагностике. К несъёмному протезированию относят такой тип конструкций, которые фиксируются во рту для постоянной эксплуатации в таком положении. Крепление таких конструкций не подразумевает «снятия»; если возникнет необходимость в изъятии несъёмного протеза из ротовой полости, то он будет демонтирован.Следует отметить, что несъёмные протезы со стороны пациентов обычно находятся в предпочтении.
Основные типы съёмных конструкций:
- Частичные съёмные протезы;
- Полные съёмные протезы;
- Бюгельные протезы.
Основные типы несъёмных конструкций:
- Искусственные коронки (и частичные коронки);
- Мостовидные протезы;
- Микропротезы. Сюда входят вкладки и накладки (виниры и люминиры).
Также следует сказать немного подробнее о микропротезах. Вопросам эстетики в ортопедической стоматологии в принципе уделяется большое внимание, плюс к тому есть и соответствующее направление: эстетическая стоматология.В частности, люминиры (тонкие керамические пластинки, крепящиеся на передней поверхности зубов) – наглядный пример конструкций, основная цель которых – эстетическая коррекция внешнего вида зубов и создание того, что называют «идеальной улыбкой». Виниры, в том числе, применяются и в лечебных целях, укрепляя зуб при наличии, например, трещин, восстанавливая целостность зуба в тех случаях, когда есть сколы, а также для устранения диастемы (непропорционально большого промежутка между зубами, также называемого «щербинкой»).
Основная задача применения вкладок – функциональное восстановление зуба (разумеется,эстетический вопрос также решается).

Вкладки используют в тех случаях,когда могла бы потребоваться пломба,но композитный материал недостаточно эффективен (в силу величины повреждения зуба). Может возникнуть вопрос: эти две категории(съёмное и несъёмное протезирование) известны давно, в чём же современность? Сильно продвинулись вперёд сами конструкции,материалы, из которых изготавливают протезы, материалы и методы, применяемые для крепления конструкций. О наиболее часто используемых конструкциях каждой из категорий будет сказано подробнее ниже.Так можно ли сказать, какой вид протезирования зубов лучше? Вне конкретной ситуации – вряд ли, а при анализе каждого конкретного случая (в этом конкретном случае) – конечно, да. То есть найти оптимальное ортопедическое лечение можно только после осмотра, диагностики и консультации с врачом. Главное то, что оптимальное ортопедическое лечение найти всегда можно, и для этого нужен диалог с доктором.
Способы протезирования с помощью коронок.
Одним из классических примеров протезирования можно считать установку искусственных зубных коронок.

Этот вид ортопедических конструкций имеет свою историю. Принципиальная суть протезов такого рода не изменилась, но способы изготовления и материалы значительно усовершенствовались.
Штампованные цельнометаллические коронки какое-то время назад были довольно широко распространены. В принципе, со своими задачами эти конструкции справлялись;но дело в том, что такие протезы имели очень большое количество недостатков, среди которых: недостаточно высокий уровень воссоздания формы коронки, проблемы контакта с десневым краем, наличие металла (риск аллергий), низкая эстетика.Часть проблем решалась через изготовление коронок из драгоценных металлов.Но при этом оставалась существенная проблема низкой эстетики; к тому же такие протезы имели довольно высокую стоимость.
Сейчас основной эстетический критерий – максимальное сходство с натуральным внешним видом; общие требования к качеству протезов возросли. Теперь наибольшее распространение получили:
- Металлокерамические коронки (металлический каркас и керамическая облицовка). Коронки, предназначенные для решения широкого спектра задач. Имеют высокую эстетику и надёжность, приемлемые ценовые показатели. Некоторые недостатки, связанные с наличием металла, также свойственны конструкциям такого рода. Чаще всего рекомендованы для протезирования жевательных зубов.

- Керамические коронки (E.MAX). Протезы, в конструкции которых нет металлических элементов; выполненные методом литьевого прессования (поэтому также встречается формулировка «пресс-керамика»). Обладают очень высокой эстетикой. Помимо «обычного сходства» такие коронки воссоздают оптические свойства натуральных тканей зуба (зуб имеет некоторый уровень светопроницаемости). Обычно рекомендованы для протезирования передних зубов, так как могут оказаться недостаточно прочными для жевательной нагрузки.
- Циркониевые коронки (коронки на основе каркаса из диоксида циркония). Внешне похожи на керамические протезы. Представляют собой циркониевый каркас с керамической облицовкой. Имеют очень высокие эстетические показатели, так как тоже воссоздают, помимо фактурного и цветового сходства, и оптические свойства натурального зуба. Обладают высокими прочностными свойствами; таким образом, предназначены для решения любых задач протезирования. Дороже керамических.
В силу разнообразия задач и множества вероятных клинических случаев, разработаны разные способы протезирования:
- Штифтовое крепление.
- Штифт – это стержень, который может быть выполнен из различных материалов (металл, пластик, стекловолокно), представляющий собой связующее звено между корнем и коронкой. Такой стержень крепится в корневом канале, коронка фиксируется на «другой конец» этого стержня. Для протезирования таким способом требуется наличие сохранившегося корня.
- Протезирование на культевой вкладке. Очень распространённый способ. Принцип в определённом смысле аналогичен описанному выше. Культевая вкладка – это конструкция, которая также может быть выполнена из различных материалов (металл, керамика), тоже предназначена для создания фиксирующей связи между корнем и коронкой. Как и следует из названия, вкладка имеет культевую часть зуба. Внутрикорневая часть вкладки помещается, соответственно, в корневой канал зуба. Коронка фиксируется поверх культевой части. Для протезирования таким способом также требуется наличие сохранившегося корня. Желательно соблюдение соответствия материала коронки и вкладки. То есть, например, металлокерамическую коронку вполне можно установить на металлическую культевую вкладку; для фиксации керамической коронки следует использовать керамическую вкладку (оптические свойства материалов разные, и металлическая вкладка может «просвечивать» сквозь керамическую коронку).
- Протезирование на имплантатах. Как уже понятно, такому протезированию будет предшествовать имплантологический этап лечения. Такой способ актуален в тех случаях, когда нет возможности использовать корень для штифта или вкладки. В этом случае настоящий корень зуба заменяет вживлённый имплантат.
- Установка коронки для укрепления тканей зуба. Для этого зуб подвергается обточке (часто может потребоваться депульпирование зуба, лечение и пломбировка каналов); затем искусственная коронка фиксируется с помощью цементирующего вещества.
Особенности протезирования зубов коронками из металлокерамики.
Металлокерамические коронки довольно давно вошли в стоматологическую практику; это конструкции, которые и сегодня представляют собой результативный вариант протезирования: им присущи надёжность, эстетичность, ценовая доступность.Как уже было сказано выше, металлокерамические коронки состоят из металлического каркаса и нанесённого на него слоя керамической облицовки.
Особенности протезирования зубов такими конструкциями:
- Обычно возникает необходимость в депульпировании зуба.
- Специфика строения протеза вынуждает делать значительную обточку зуба перед установкой протеза.
- Наличие металла может провоцировать развитие аллергических реакций, иногда возможно окисление каркаса (однако, это редкие случаи).
- Тёмная кромка каркаса может «просвечивать» через десну.Если десневой край опустится, эта кромка обнажится.
- Внешний вид таких протезов хорошо имитирует эмаль зубов, но не идеально. Основное препятствие этому заключается в наличии металлического каркаса, который не пропускает свет. Поэтому обычно рекомендуют использовать металлокерамические коронки для протезирования жевательных зубов, а не передних.
- Хорошо сочетаются с металлическими культевыми вкладками.
- Есть риск сколов керамической облицовки. В этом случае потребуется ремонт или замена протеза.
Особенности протезирования зубов коронками из керамики.
Керамические коронки, не содержащие металлических элементов, были разработаны как более совершенная с эстетической точки зрения альтернатива металлокерамике.
Особенности протезирования такими конструкциями:
- Керамика схожа по оптическим свойствам с тканями зуба. В связи с этим, восстанавливая зуб с помощью таких протезов, удаётся полностью сымитировать внешний вид натурального зуба.
- Высокие эстетические показатели позволяют применять керамические коронки для протезирования передних зубов.
- Керамические конструкции, не имеющие каркаса, не так прочны; соответственно, такие коронки не рекомендованы для протезирования жевательных зубов.
- Сочетаются с культевыми вкладками, выполненными из соответствующего материала. Использование металлических вкладок нежелательно.
- Высокая биологическая совместимость с тканями человека; керамика не провоцирует возникновение аллергических реакций.
- Отличное прилегание к культе зуба.
- Отсутствие кромок и уступов.
- Не влияют на состояние и внешний вид десны.
- Керамические коронки дороже металлокерамических.
К категории керамических протезов относят также циркониевые коронки (так как они не имеют металлических элементов и имеют керамический слой).
Немного подробнее о протезах такого рода:

- Основанием конструкции выступает каркас из диоксида циркония, который вытачивается на высокоточном автоматизированном фрезерном оборудовании (CAD/CAM-технологии).
- Обеспечивается идеальная посадка протеза.
- После облицовки керамикой протез идеальноимитирует внешний вид зуба. Отсутствие металла позволяет сохранить соответствие оптическим свойствам.
- Циркониевый каркас позволяет преодолеть недостаток конструкций из прессованной керамики – недостаточную прочность. Таким образом, коронки на основе диоксида циркония пригодны для протезирования любых зубов.
- Такие протезы дороже конструкций, выполненных из прессованной керамики.
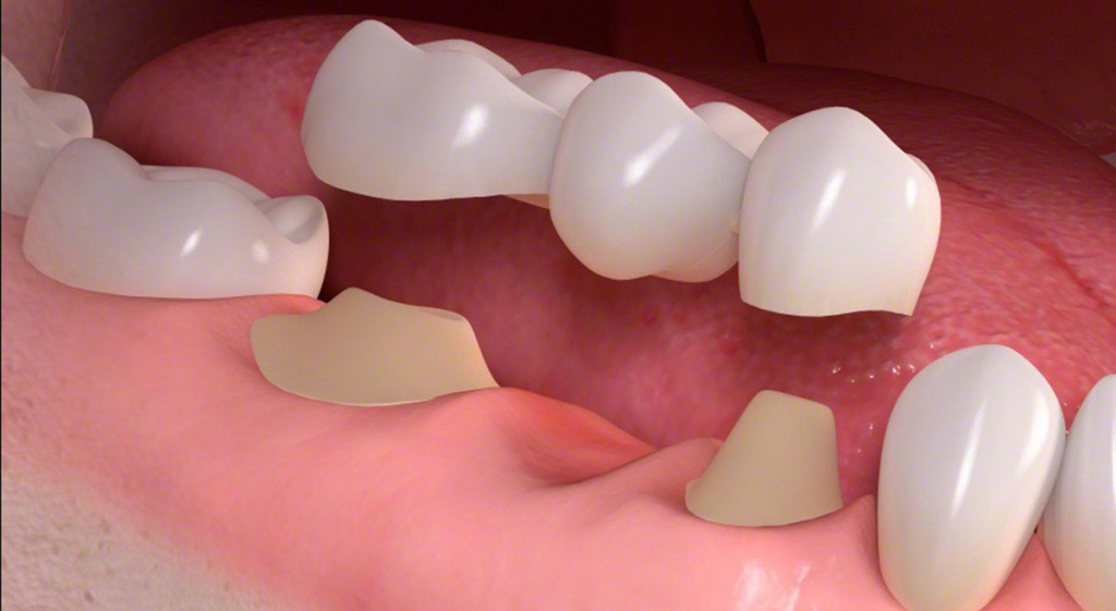
Установка мостовидных протезов.
Мостовидные протезы (иногда именуемые «мосты») – ещё один представитель ортопедической классики в стоматологии. Со временем принцип конструкции не менялся: между опорными коронками закреплена «подвешенная» часть, также воссоздающая коронковую часть утраченных зубов. И, как и в случае с одиночными коронками, совершенствовались материалы и методики.
Особенности, связанные с такими конструкциями:
- Мостовидные протезы выполняют из различных материалов. Классический вариант – металлокерамика.
- Эстетические свойства и прочностные показатели протеза зависят от материалов, из которых изготовлена конструкция.Следует отметить, что современные протезы точно имитируют внешний вид натуральных зубов.
- Для установки мостовидной конструкции (по традиционной методике) требуется наличие здоровых и крепких зубов, которые будут выполнять функцию опоры этого протеза, а также принимать на себя нагрузки, создаваемые во время приёма пищи. Эти зубы, при установке протеза, будут обточены.В некоторых случаях врач может настоятельно рекомендовать не трогать здоровые зубы, а вместо установки «моста» предложить изготовить частичный съёмный протез.
- Установка мостовидных протезов может быть осуществлена на имплантатах. В этом случае опорой выступают не сохранившиеся зубы, а вживлённые имплантаты.

- Мостовидный протез имеет нижнюю часть, у которой нет собственной опоры. Соответственно, потребуется приобретение нужных (новых) гигиенических навыков (и привыкание к ним).
- Существуют и другие разновидности протезов, относящих к мостовидным (например, адгезивные, консольные). Решение о целесообразности применения таких конструкций принимается врачом в индивидуальном порядке.
Съёмное протезирование.
Итак, к этой категории относят протезы, которые пациент может самостоятельно извлекать из ротовой полости, и конструкция которых не подразумевает постоянной фиксации.
Наиболее распространены:
- Полные съёмные протезы.

- Частичные съёмные протезы.

Как видно, полные съёмные протезы (пластинчатые полные съёмные протезы) предназначены для восполнения всей протяжённости зубных рядов (при полной адентии). Частичные протезы, соответственно, восполняют недостающую часть зубного ряда.
Общие особенности съёмного протезирования:
- Протезы могут быть изготовлены из различных материалов (стоматологическая пластмасса, мягкие материалы (нейлон, например), включать металлические элементы).
- Так как протезы съёмные, актуален вопрос его фиксации. Для решения данного вопроса есть множество способов и приспособлений. Но риск смещения или «выпадения» протеза сохраняется.
- Потребуется привыкание к протезу.
- Потребуются необходимые гигиенические меры.
- Несмотря на наличие возможных фиксирующих элементов, основную опорную нагрузку принимает десна (десна «перетруждена», возможны натирания и раздражения слизистой).
- Эксплуатация съёмных протезов не останавливает убыль костной ткани.
- Съёмные протезы могут повлиять на речь.
Частичные съёмные протезы иногда могут быть рекомендованы как временное решение (например, когда утрачен зуб, рядом с которым находятся здоровые зубы, а в дальнейшем планируется воссоздание утраченного зуба с помощью имплантации).
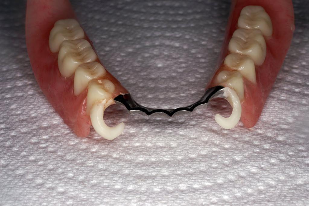
Бюгельное протезирование.
Использование бюгельного протеза иногда может быть предпочтительным. Это тоже съёмный протез, с помощью которого можно восстановить обширные дефекты зубного ряда.

Особенности бюгельного протезирования:
- Протез состоит из металлического дугового каркаса (отсюда и название), искусственных коронок, закреплённых на каркасе, имитации десны и крепёжных элементов.
- Металлическая перемычка (протезов для нижней челюсти) не создаёт препятствий для языка (качество речи может не пострадать),при этом дополнительно укрепляет протез в полости рта(не давая смещаться или «выпадать» конструкции во время разговора).
- Протез прочный и надёжный.
- Предусмотрены различные крепления протеза к сохранившимся зубам.
- Изготовление протеза представляет собой сложную работу,что, в итоге, сказывается на цене (среди съёмных протезов бюгельные – наиболее дорогие).
- Так как бюгельные протезы – это съёмные конструкции, им присущи основные недостатки, свойственные съёмным протезам.
