✔ Реставрируем зубы, воссоздавая их первоначальный и внешний вид
✔ Используем современный материал для исправления дефектов зубного ряда
✔ Стремимся сделать все возможное, чтобы натуральный зуб был сохранен

Двукраева Людмила Викторовна
Врач стоматолог, терапевт, врач высшей категории, главный врач ЦЕНТРА СТОМАТОЛОГИИ И КОСМЕТОЛОГИИ В Некрасовке
«Преданность профессии обязывает меня не просто лечить зубы, а проводить полноценный осмотр и обучать пациентов грамотному уходу за полостью рта.
Залог здоровых зубов — ежедневный тщательный домашний уход, а также правильное питание. С этих мер начинается противостояние кариесу.
Я берусь за пациентов всех возврастов и работаю совместно с другими специалистами для достижения наилучшего результата».

Молькина Анастасия Николаевна
Врач стоматолог, терапевт
» С детства я точно знала что буду стоматологом, так как выросла в семье потомственных стоматологов. Моя работа помогает людям обрести уверенность в себе, получить красивую улыбку, и открыть с ее помощью новые горизонты в жизни и даже в карьере. Большую часть своего времени я провожу в изучении новых тенденций в области современной терапевтической стоматологии. Наградой за все мои усилия являются благодарные пациенты».
Терапевтическая стоматология направлена на профилактику, диагностику и лечение заболеваний твердых и окружающих тканей зуба и слизистой оболочки полости рта.
Основные задачи терапевтической стоматологии:
✔ выявление, лечение и профилактика заболеваний твердых тканей зуба
✔ восстановление разрушенных зубов с помощью современных пломбировочных материалов
✔ эндодонтическое лечение зубов – лечение тканей, расположенных в полости зуба и корневых каналах
✔ выявление, лечение и профилактика некариозных заболеваний зубов
✔ лечение заболеваний тканей пародонта и слизистой оболочки полости рта
Методы лечения в терапевтической стоматологии:
Реминерализация (восстановления минерального состава) – лечение кариеса в стадии пятна путем введения в твердые ткани зуба солей кальция и фтора при помощи аппликаций и электрофореза
Пломбирование зуба – после удаления кариозного очага путем препарирования тканей зуба проводится восстановление целостности утраченного объема тканей и внешнего вида с использованием различных видов (химического или светового отвержения) современных пломбировочных материалов
Эндодонтическое лечение – пломбирование корневых каналов зуба (при пульпитах, периодонтитах)
Пародонтология – лечение мягких тканей, окружающих зуб при атрофических (пародонтоз) или воспалительных изменениях (пародонтит)
Стоимость процедур:
| Наименование | стоимость процедуры |
| осмотр и консультация | бесплатно |
| Установка пломбы | от 500 ₽ |
| Пульпит 1-корневого зуба со световой пломбой | 8 500 ₽ |
| Пульпит 2 -корневого зуба со световой пломбой | 9 500 ₽ |
| Пульпит 3 -корневого зуба со световой пломбой | 14 300 ₽ |
| Лечение кариеса любой сложности: | |
| гелевым композитом светового отвержения | 5 200 ₽ |
| цементная пломба с работой | 3 000 ₽ |
| реставрация с анестезией | 9 500 ₽ |
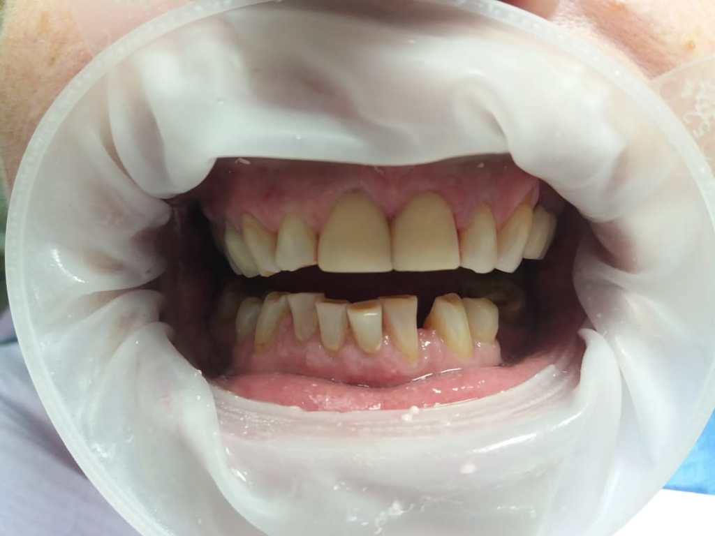
Скол переднего зуба, востановлен стекловолоконным штифтом сделана реставрация гелиокомпозитом, руботу выполнила врач стоматолог-терапевт Двукраева Людмила Викторовна:

ДО ПРОЦЕДУРЫ 


ПОСЛЕ ПРОЦЕДУРЫ
Реставрация 2-х передних зубов, работу выполнила врач стоматолог-терапевт Молькина Анастасия Николаевна:

ДО ПРОЦЕДУРЫ 


ПОСЛЕ ПРОЦЕДУРЫ
