
Клинический случай : Пациентка обратилась с жалобами на эстетику. Было принято решение о замене старых ортопедических конструкций на металлокерамические коронки.




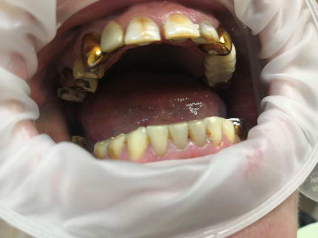
Клинический случай: Пациент обратился с жалобой на частичную адентию (осталось 6 зубов на верхней челюсти), было принято решение об установке 6 металлокерамических коронок и бюгельного протеза на верхнюю челюсть.







Клинический случай: Пациентка обратилась с жалобами на разрушенные зубы верхней челюсти и желанием восстановить эстетику, а также жевательную функцию. Было принято решение восстановить зубы вкладками и металлокерамическими коронками.









Клинический случай: протезирование пациента 6 металлокерамических коронок + съемный протез.


