
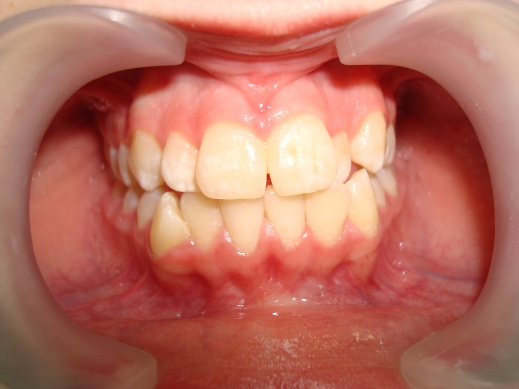
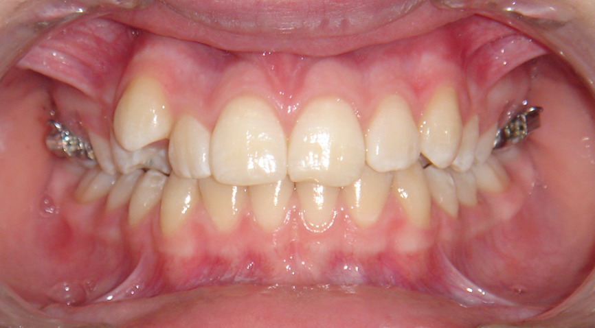
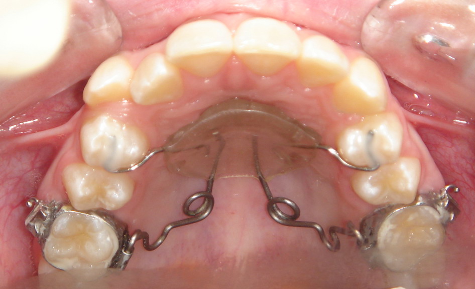
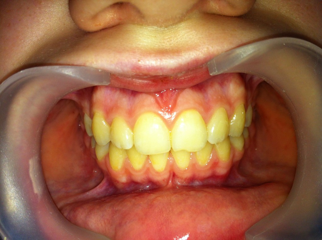
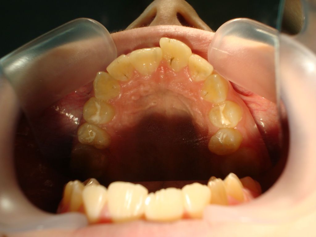
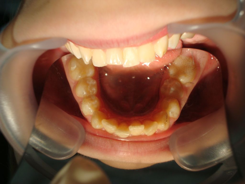
Пациентка Алина В. 12 лет

ДО ЛЕЧЕНИЯ 



ПОСЛЕ ЛЕЧЕНИЯ
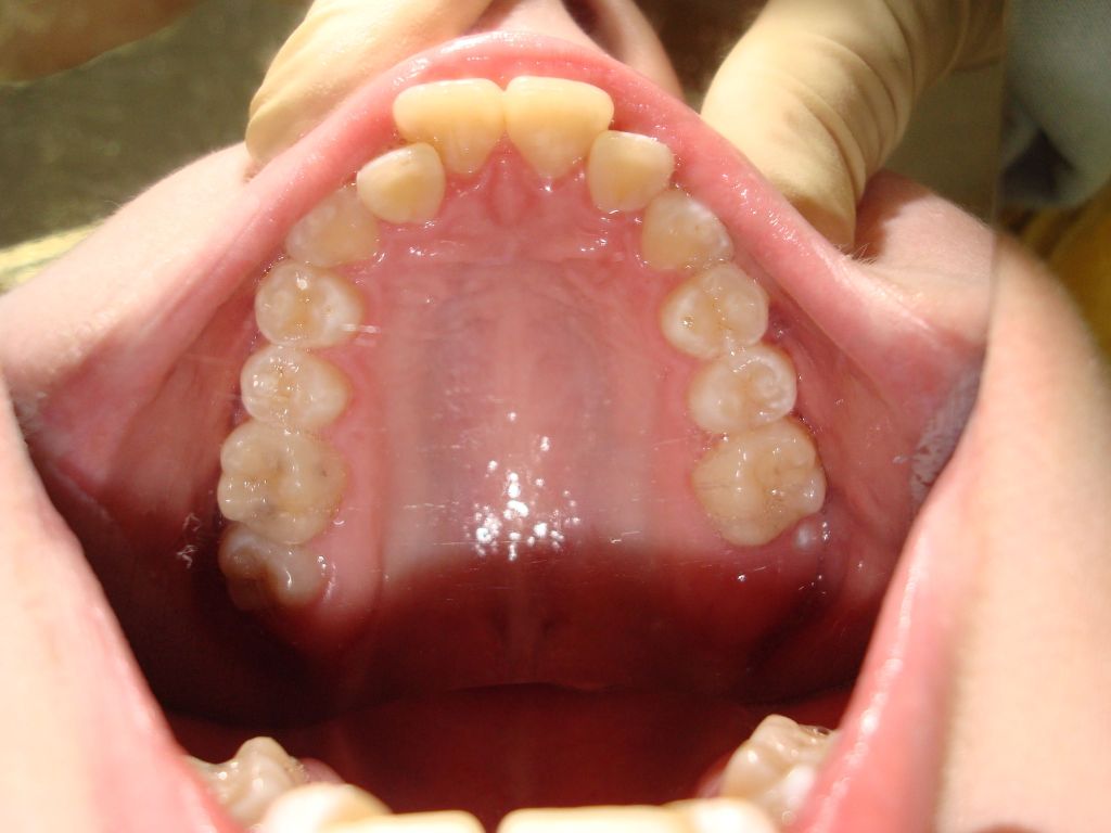
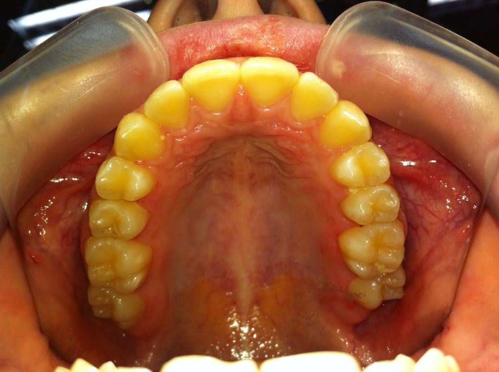
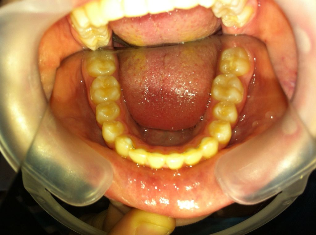
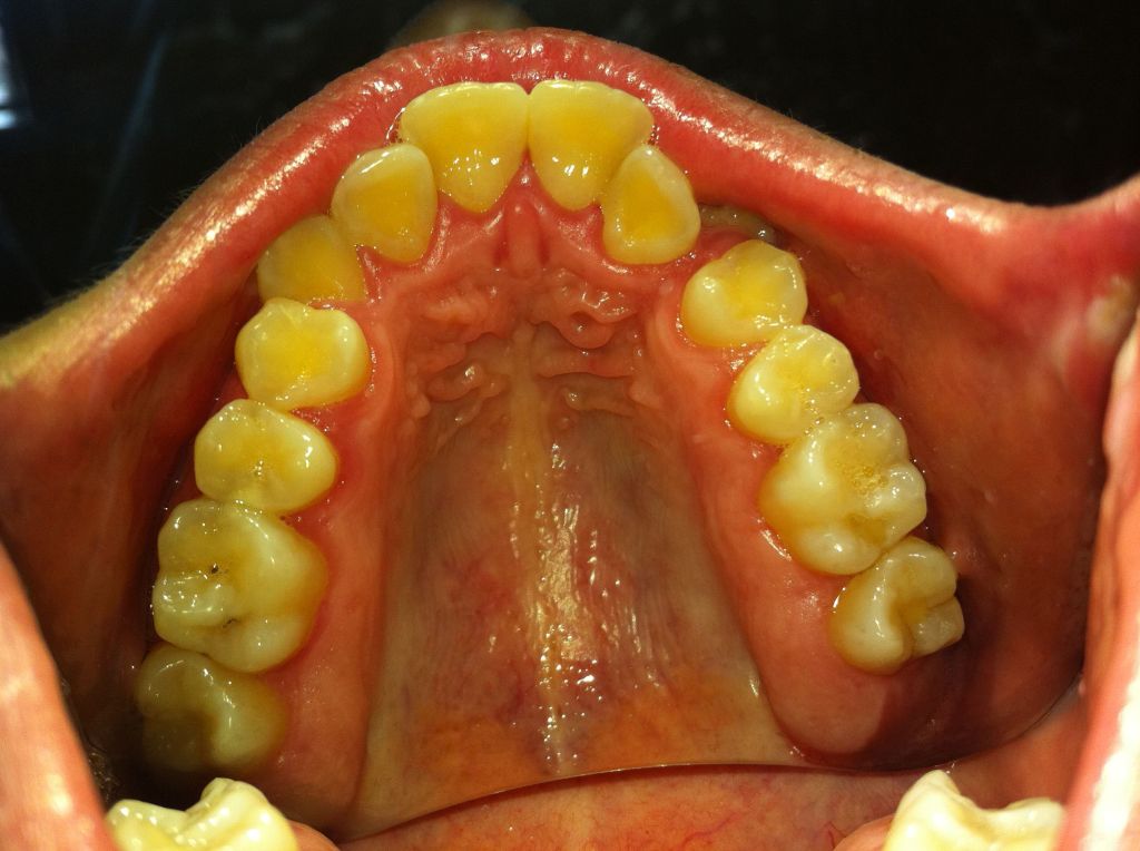
Пациентка София Б. 13 лет






ПОСЛЕ ЛЕЧЕНИЯ
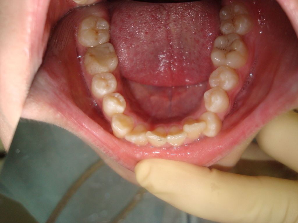
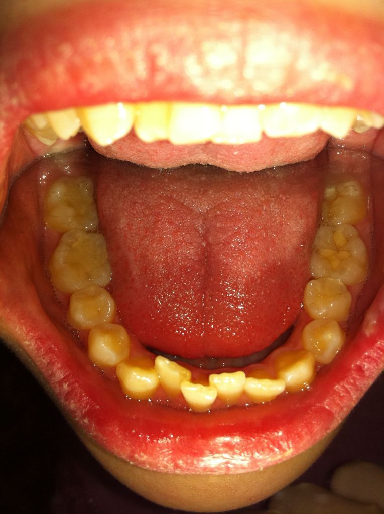
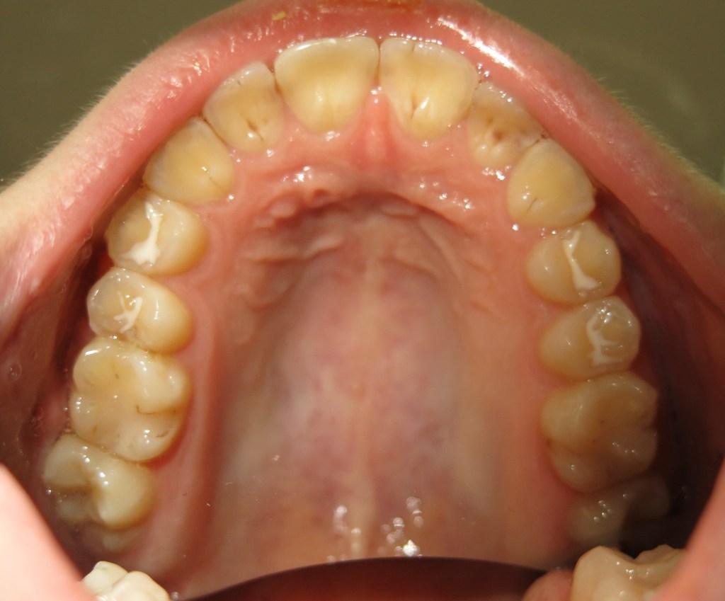
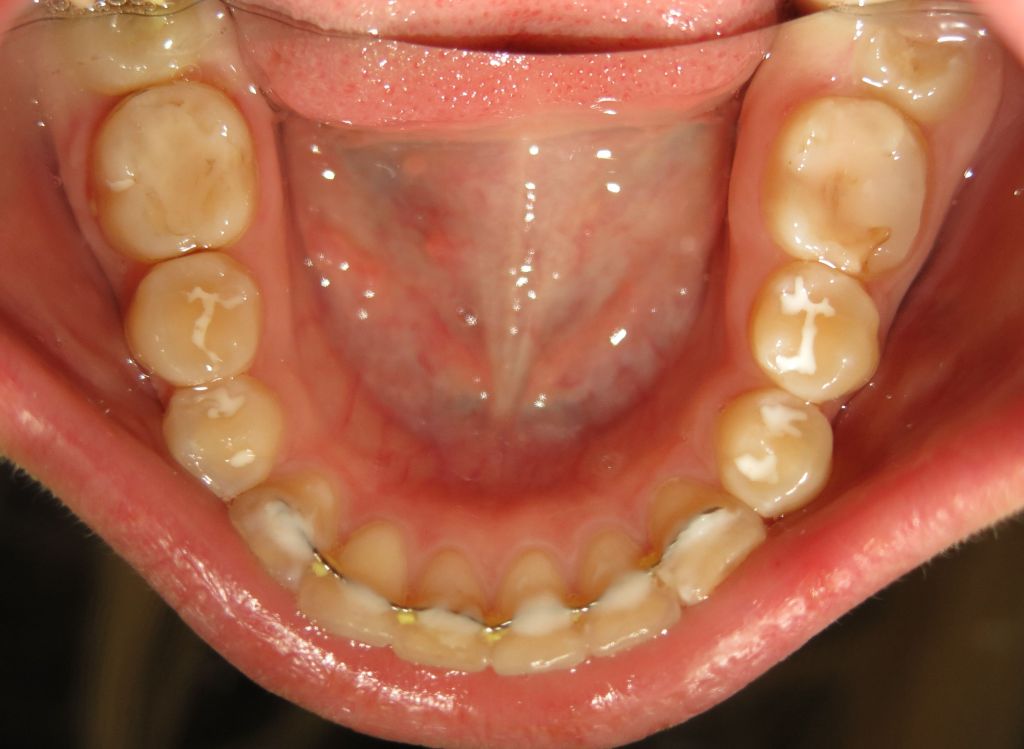
Пациентка Галина Л. 15 лет

ДО ЛЕЧЕНИЯ 




ПОСЛЕ ЛЕЧЕНИЯ
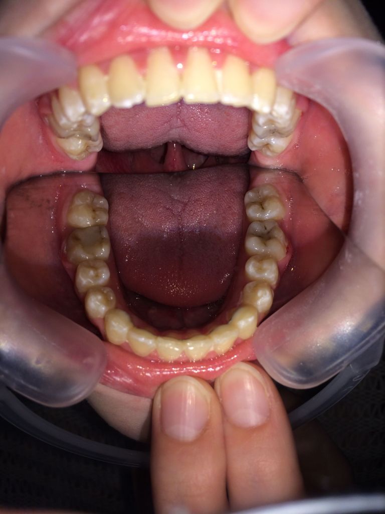
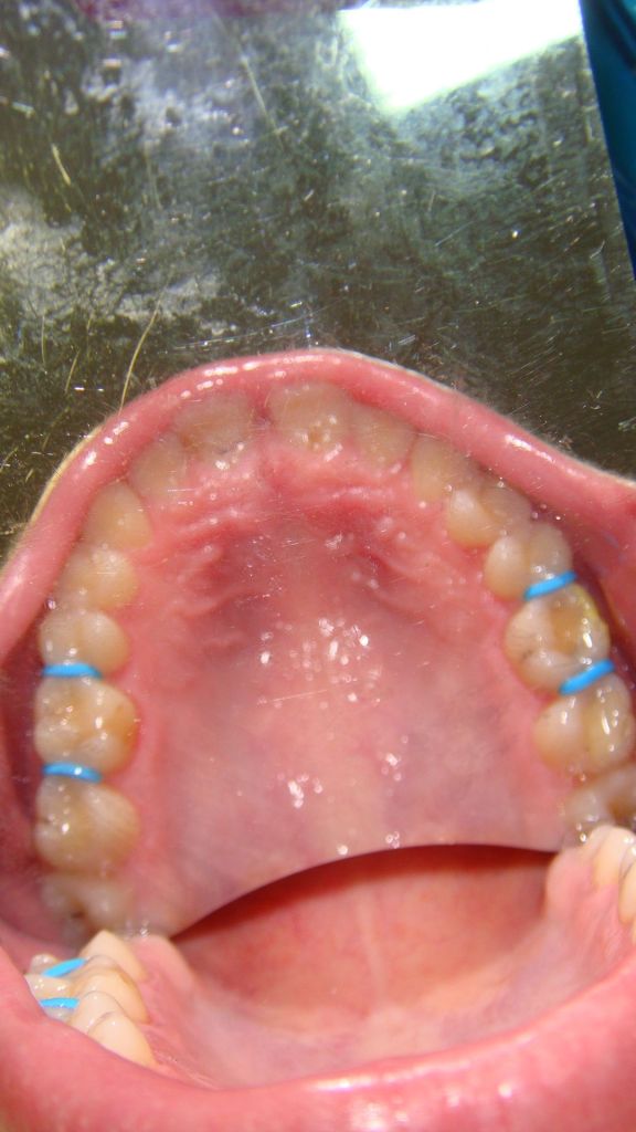
Пациентка Карина С. 20 лет

ДО ЛЕЧЕНИЯ 




ПОСЛЕ ЛЕЧЕНИЯ
Пациентка Кристина Т. 13 лет

ДО ЛЕЧЕНИЯ 




ПОСЛЕ ЛЕЧЕНИЯ
Пациент Матвей Р. 12 лет

ДО ЛЕЧЕНИЯ 




ПОСЛЕ ЛЕЧЕНИЯ
