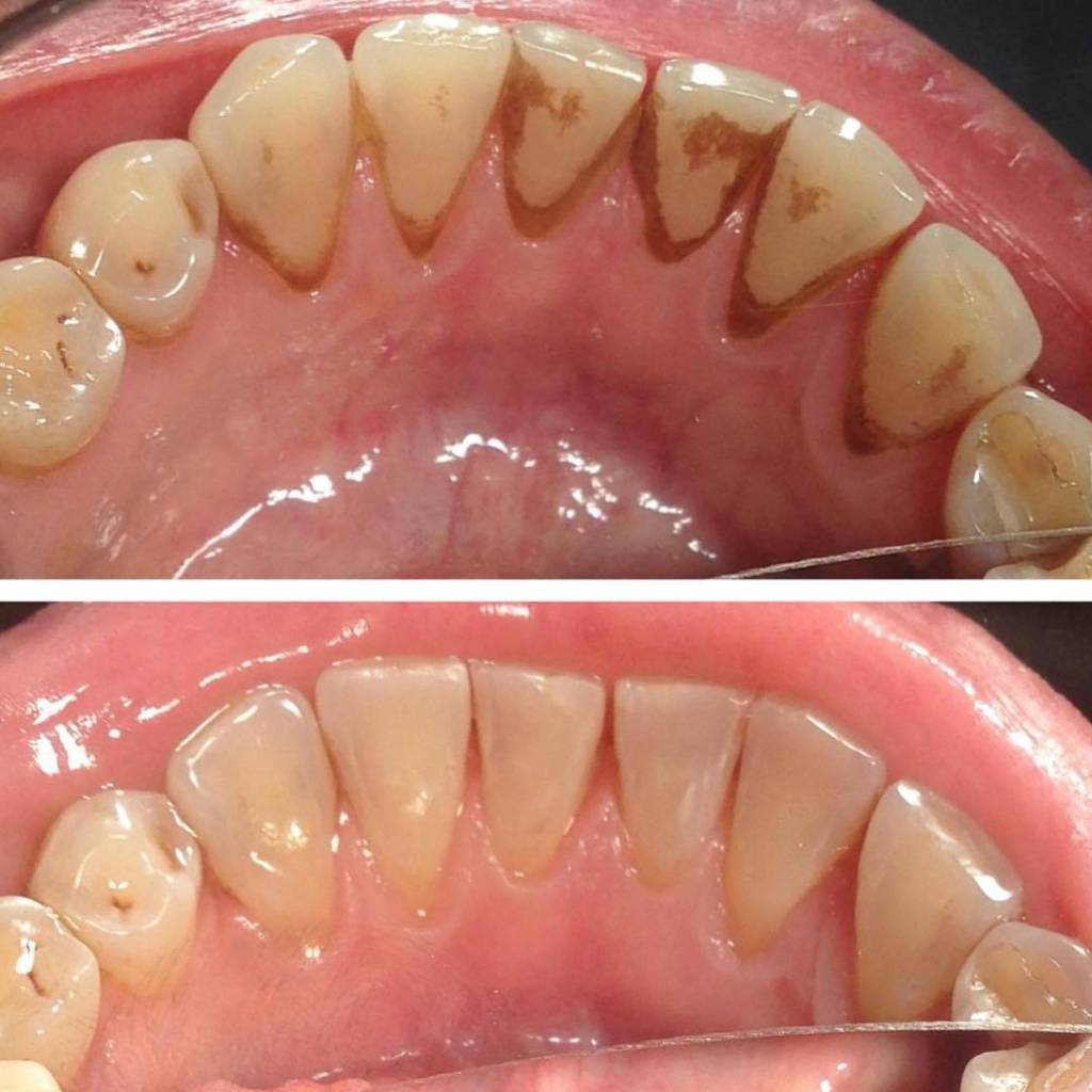
✔ Предотвращаем обнажение подлежащего дентина и развитие кариозного процесса
✔ Снимаем зубные отложения, удаляем пленку от никотина, темные пятна от кофе и чая
✔ Бережно счищаем микробный налет с помощью специализированных паст

Двукраева Людмила Викторовна
СПЕЦИАЛЬНОСТЬ: Врач стаматолог-терапевт, врач высшей категории, главный врач ЦЕНТРА СТОМАТОЛОГИИ И КОСМЕТОЛОГИИ В НЕКРАСОВКЕ

Молькина Анастасия Николаевна
Специальноть: Врач стаматолог-терапевт
Даже при тщательной чистке зубов щеткой удается удалить не более 50% зубных отложений. Поэтому профессиональная чистка зубов – обязательная процедура для каждого, кто хочет сохранить свои зубы здоровыми.
Профессиональная гигиена позволяет обнаружить микроскопические кариозные поражения, очистить зубы от налета и зубного камня даже на таких участках, которые невозможно качественно очистить зубной щеткой – например, под краем десны или между зубами.
Как делают гигиену полости рта?
Гигиена проводится в три этапа:
1. Снятие зубного камня ультразвуком
Ультразвуковой скейлинг – наиболее распространенный метод профессиональной гигиены. Во время процедуры зубные отложения разрушаются под воздействием ультразвука, после чего удаляются водой. Метод позволяет избавиться от зубных отложений не только на видимой поверхности зубов, но и под десневым краем.
2. Удаление мягких отложений Air-Flow
В некоторых случаях воздействия ультразвука оказывается недостаточно для удаления твердых зубных отложений. В этом случае врач может рекомендовать пройти гигиену полости рта Air Flow. Гигиена проводится смесью воды и очищающего порошка, подающейся под давлением. Air Flow очищает эмаль зубов, удаляет отложения из пародонтальных карманов глубиной до 1 см. При этом эмаль становится на пару тонов светлее.
3. Полировка и покрытие зубов защитным составом
После удаления налета поверхность зубов полируется и покрывается фторосодержащими лаками. Полировка препятствует образованию зубного налета, а покрытие фторлаками предотвращает чувствительность зубов после процедуры и укрепляет зубную эмаль.
Как часто можно делать гигиену полости рта?
Рекомендованная периодичность профессиональной гигиены зубов – два раза в год. Однако по желанию или медицинским показаниям (при ускоренном образовании зубного налета) гигиеническая чистка может проводиться чаще – раз в 2-3 месяца. Проходить гигиену полости рта чаще рекомендуется курильщикам, а также тем, кто любит черный чай и кофе.
Профессиональная гигиена — не замена ежедневной чистке зубов, а дополнение к ней. Чтобы сохранить здоровье полости рта, нужно не только регулярно проходить профессиональную гигиену, но и чистить зубы как минимум дважды в день, а после еды пользоваться зубной нитью и специальными растворами для полоскания рта.


